Zoo Berlin: „We are pregnant “

Two heartbeats during ultrasound scan of giant panda Meng Meng

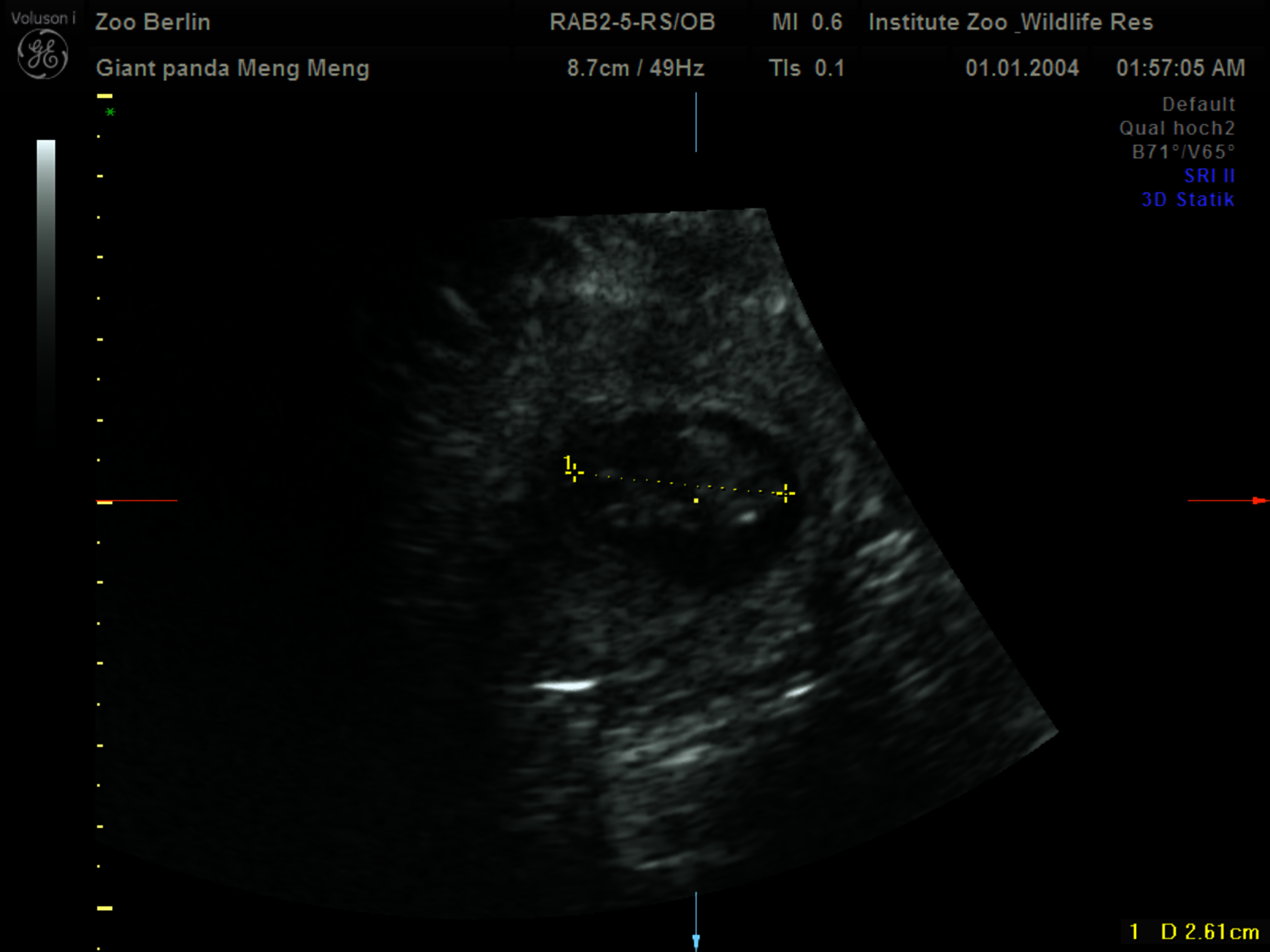
  • [Translate to English:] Ultraschallbild Meng Meng
  • [Translate to English:] Panda-Team
  • [Translate to English:] Panda Meng Meng

    Certainty at last: after weeks of eager anticipation, a small rejoicing broke out on Sunday morning in Zoo Berlin's Panda Garden. First there was a heartbeat, then a second one was detected by the ultrasound machine. At seven o'clock in the morning, the "special panda unit" had gathered there for an audience with Meng Meng to try their luck again with the ultrasound of the recently uncooperative female panda. Just before the now well-coordinated team of keepers and veterinarians were about to finish their attempt around nine o'clock, the crucial images that everyone had been eagerly awaiting arrived. "A standing scan finally brought the happy news that Meng Meng was pregnant with two cubs. This was only possible thanks to the special bond of trust between humans and animals. Although she was visibly squirming in her belly, Meng Meng was persuaded to stand upright and accept the cool ultrasound gel and the ultrasound probe. The entire team was justifiably proud of this groundbreaking success," said a delighted Prof. Dr. Thomas Hildebrandt, Head of the Department of Reproduction Management at the Leibniz Institute for Zoo and Wildlife Research (IZW). "On Sunday, we were able to provide one of the earliest sonographic proofs of a giant panda pregnancy. The cubs are about 2.5 centimetres long and still need to grow properly before birth," he adds. The veterinarian is also considered an international expert on giant panda reproduction through his role as scientific advisor to the Chengdu Research Base. "The team's joy was great, especially since we had already had several unsuccessful ultrasound attempts," confirms zoo veterinarian Dr. Franziska Sutter, who also witnessed the examination, but adds: "Despite all the enthusiasm, we have to be aware that this is a very early stage of pregnancy and that so-called resorption - i.e. death - of the embryo is still possible at this point. We will continue to follow developments closely with ultrasound
    examinations and hormone analysis. We very much hope that everything goes as well as it did last time in 2019."

    Zoo and Tierpark Director Dr. Andreas Knieriem praised the exemplary cooperation and above-average personal commitment of the entire team: "That was really excellent news on a Sunday morning. My heartfelt thanks go to the people who made this possible together: First and foremost, I would like to thank Prof. Dr. Thomas Hildebrandt, who, together with his colleague Dr. Holtze, always takes the time to check on our giant pandas at Zoo Berlin between their many tightly scheduled assignments around the world. I would also like to thank our own vet team and, finally, the fantastic team at Panda Garden for their outstanding organization and excellent medical training with the animals, without which these examinations would not have been possible. Based on the size of the embryos, we are currently still expecting a birth at the end of August - if all goes well."

    In any case, Zoo Berlin is well prepared for a possible birth - as it was five years ago. In addition to the experts from the IZW, support from China arrived again on Sunday. In 2019, Berlin Zoo was already able to benefit from the extensive knowledge of the colleagues at the Chengdu Panda Base in cub rearing. Wildlife endocrinologist Dr. Jella Wauters from the Leibniz-IZW will also soon be setting up her second temporary home in the Panda Garden again in order to determine the timing of the birth more precisely using hormone analyses. Meng Meng is currently very sleepy and will not always be visible to zoo guests in the coming weeks. Male Jiao Qing will hold the fort until then. Giant pandas are solitary animals, and the males are not involved in the rearing of cubs, even in their natural habitat.

    Dormancy

    The so-called dormancy is the reason why it took so long for the pregnancy of female panda Meng Meng to be officially confirmed. Unlike most mammals, the fertilized egg does not immediately implant in the uterine wall of giant pandas. Instead, the fertilized egg remains dormant in the mother's uterus for a certain period of time. This period of dormancy can last several months, during which the embryo does not develop further. Only when certain environmental conditions are favourable and external conditions are suitable does the pregnancy continue and the embryo develop.

    Giant panda background

    Without conservation measures, the giant panda would most likely already be extinct. The giant panda is a unique specialist with specific needs. Thanks to intensive measures against poaching and the promotion of protected areas and connecting corridors, populations have recovered somewhat, but the giant panda is classified as "endangered" on the Red List of the International Union for Conservation of Nature (IUCN) with just under 2,000 individuals in its natural habitat. The fragmentation of its habitat by roads, railways and agricultural land is a major problem for this solitary animal.

    Zoo Berlin has been home to Germany's only giant pandas since summer 2017. On August 31, 2019, female panda Meng Meng (11) gave birth to two baby pandas (Pit: 186 g and Paule: 136 g). They were the first panda offspring ever born in Germany. Pit & Paule left Zoo Berlin in December 2023 and have been living at the Chengdu Panda Base in China ever since. In April of this year, after intensive observation and careful preparation by the international team of experts, Meng Meng was artificially inseminated. Female giant pandas are only able to reproduce for around 72 hours a year, and the fragmentation of the natural habitat makes it difficult for the animals to find each other at mating time.

    Opening hours

    Today, 26. December
    9:00 - 16:30
    Last admission: 15:30
    Opening hours

    Feedings & Trainings

    • Panda talk 11:00
    • Orangutans/Bonobos 13:30
    All feedings

    Map

    Zoo map